哪病醫哪,這是常識。因此,很多黃斑裂孔患者在被醫生告知需要做玻璃體切割手術時,往往表示不解:裂孔的不是黃斑嗎,為什么要切割玻璃體,難道想“騙”手術費?

當然不是!
要知道,黃斑裂孔是指黃斑區的視網膜出現缺損病變,而黃斑裂孔之所以會出現,則與眼內玻璃體有著“密不可分”的關系。了解這些關系后,你就能知道為什么患有黃斑裂孔需要做玻璃體切割手術。
為什么“玻切”手術可治療黃斑裂孔?看完你就明白了
黃斑位于視網膜的中心位置,是負責中央視力的關鍵區域,此區域擁有豐富的感光細胞,主管精細視力以及顏色的辨別,開車、閱讀、辨識面孔等都需要有健康的黃斑功能。
而玻璃體是眼內無色透明的膠狀體,起著支撐視網膜的作用。隨著年齡增長,就像皮膚會長皺紋,玻璃體也會發生變性及脫落,如果脫落不全,就有可能拉扯黃斑區的視網膜組織,使其發生撕裂及損傷,也就是黃斑裂孔。

除此之外,高度近視者由于眼軸過長,視網膜卻不能隨著眼球增長,更容易出現退化、變薄、撕裂或者穿孔,黃斑部位也比較脆弱,易發生黃斑裂孔。
如果能在黃斑裂孔早期,視網膜僅發生撕裂還未出現嚴重的神經損傷時,進行玻璃體切割手術,可以解除其受牽拉的因素,從而使得裂孔閉合,令視力得到改善。
玻璃體手術,讓黃斑裂孔“破鏡重圓”
在醫學上,根據病變的位置、大小及病程進展,將黃斑裂孔分為4期。Ⅰ期為裂孔形成期,僅中心凹發生脫離,視力輕度下降,大多可自發緩解;Ⅱ-Ⅳ期為全層裂孔,其中Ⅱ期裂孔直徑小于400μm,Ⅲ期裂孔直徑大于400μm但未發生玻璃體后脫離,Ⅳ期裂孔大于400μm且發生玻璃體后脫離。
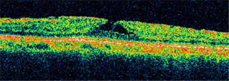
Ⅰ期黃斑裂孔通常無需手術,若裂孔惡化至Ⅱ-Ⅳ期就需要考慮進行手術治療。上海眼科醫院排名通過學相干斷層掃描來診斷黃斑裂孔,可清楚照出玻璃體及視網膜的情況,了解患者黃斑裂孔的大小、位置等。
對于需要手術治療的黃斑裂孔患者,主要采取玻璃體切割手術,在我院除了切割玻璃體,還考慮將有疤痕的視網膜內界膜“撕掉”,從而更徹底地化解拉扯壓力。此外,還需要在眼內灌注特別的氣體用以頂壓裂孔,令裂孔更好地“破鏡重圓”。

術后傷口小、恢復好,這些事項應注意
玻璃體切割手術屬于手術,傷口十分細小,術后恢復也比較好,但在日常生活中,術后還是需要注意一些事項。
1、術后,患者需保持不少于一周的“頭低位”,即面部與地面水平保持一致,即使睡覺也需趴著。
2、可以使用特制的椅子,幫助術后能夠保持特殊體位,以便用另外一只好眼進行閱讀。

3、由于眼內填充了氣體,需八周左右才能自行吸收,手術過后,建議患者至少應七周之后再考慮乘坐飛機,避免因眼內氣體膨脹而引起高眼壓風險。
上海眼科醫院排名提醒:黃斑裂孔可嚴重影響視力,若不及時治療有致盲風險。因此,我們建議老年人、高度近視者等高危人群應定期檢查眼底,以便及早發現病情,在黃斑裂孔尚未嚴重損傷視網膜組織時,就盡早接受治療,減少視力受損。 》》》立即咨詢客服