健康的視網膜重要嗎?重要。
健康的黃斑呢?特別重要,如果黃斑發生病變,將對視力產生極大影響。黃斑變性就是黃斑病變的一種,也是造成老年人失明的元兇之一,與白內障導致的失明不同,黃斑變性造成的失明不可逆。因此,對于黃斑變性這個眼病,早發現、早治療尤為重要。
除了定期上上海眼科醫院檢查眼底之外,還有一個方法可以檢測出自己的黃斑是否發生病變,而且簡單易操作。
用阿姆斯勒方格表自測黃斑病變,一點也不難
黃斑位于視網膜的中央,主要負責精細視力以及顏色的辨別,比如我們平時開車、閱讀、識別面孔都需要擁有良好的黃斑功能。如果黃斑部位發生病變,視功能也將受到影響,比如出現視物模糊、視物變形、視野中心有暗點等癥狀。
在黃斑變性的早期,癥狀可能并不明顯,或者僅發生輕微的視力減退而患者自身難以察覺。尤其是濕性黃斑變性,若未及時治療,視力受損也會越來越嚴重,甚至失明。在阿姆斯勒方格表的幫助下,患者可以簡單自測自己的黃斑是否有問題。

1、保證光線充足的情況下,將表格圖放在視平線30cm的距離;
2、有老化或者近視的人,需要戴上原有的眼鏡做測試;
3、用手遮蓋右眼,左眼盯著方格表中的小點;
4、重復1-3個步驟,遮蓋左眼后,檢查右眼;
5、看表格中心的小點時,如果方格表中心出現空缺或扭曲,很可能就是黃斑出了問題,需及時前往醫院做進一步檢查。

此外,有的黃斑變性患者早期可能沒有癥狀,北京希瑪眼科醫院還是建議50歲以上人群堅持做到定期檢查眼底,以免錯過好的治療時間。
干性的黃斑變性不要治?那濕性呢?
黃斑變性分為干性黃斑變性與濕性黃斑變性兩種類型。干性黃斑變性對視力的影響較小,一般無需治療,患者可以通過改善生活習慣來預防病情惡化成濕性病變,如控制“三高”、戒煙、做好眼睛防曬措施以免紫外線損傷眼睛等,或者在專業的醫生建議下使用一些營養補充劑,以延緩另一只眼發生黃斑變性的風險。
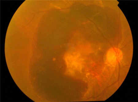
濕性黃斑變性,其發生原因是脈絡膜出現了不正常的血管增生,這些新生血管很容易發生滲漏和出血,若未及時治療,血液以及滲出物會在黃斑區積聚,導致區內的感光細胞受損,后可能造成難以補救的視力損傷。

上海眼科醫院針對濕性黃斑變性的治療方式包括:光動力療法、激光光凝凝固、類固醇玻璃體注射以及抗血管內皮生長因子玻璃體注射。有的患者僅通過其中一種治療方式便能將病情控制住,而有的患者可能需要結合多種治療方式進行“多管齊下”。

不同黃斑變性患者的治療方案可能有所差異,其中玻璃體內注射抗血管內皮生長因子是目前治療濕性黃斑變性的主要方法,它可以幫助濕性黃斑變性患者穩定病情,甚或提升視力。 》》》立即咨詢客服