說起太陽眼鏡,時尚人士的潮流單品里一般少不了它,很多人在選購時也更在意其外觀是否好看。
然而,我們往往忽略了太陽眼鏡的護目作用,對于它是否真正能抵御紫外線對眼睛的侵襲并沒有那么在意。小編在此提醒大家,過度的紫外線照射容易對眼睛造成傷害,但我們可以通過佩戴合格的太陽眼鏡來預防。

圖片版權歸希瑪眼科所有,如需轉載請注明出處
紫外線可誘發眼病,別不當回事!
紫外線在生活中隨處可見,比如陽光中的紫外線、紫外線消毒燈等,但很多人都不清楚紫外線眼睛的危害。
一般紫外線對眼睛的影響有急性和慢性兩種類型。
急性是說大量紫外線進入眼睛帶來的傷害,如連續數小時滑雪、進行燒焊工作卻沒有戴保護眼罩,導致角膜因接觸大量紫外線而被灼傷,主要癥狀表現為眼紅、流淚、畏光、刺痛等。
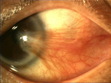
慢性則是指眼睛長年累月受到紫外線的侵損而誘發眼睛疾病。其中,翼狀胬肉的形成就與長期受到紫外線的侵損有比較大的關聯,這是一種由結膜向角膜中央長出的呈三角形的不健康組織,可對視力造成影響,漁夫、農民等需要經常在戶外工作的人士是翼狀胬肉的高危群體。

圖片版權歸希瑪眼科所有,如需轉載請注明出處
此外,黃斑變性、白內障等眼疾也與長期接觸紫外線有較大的關系。而由于紫外線是肉眼不可見的,無論晴天還是陰天,紫外線都會存在,其多寡由臭氧層厚薄、太陽與地球的距離等因素決定。因此,無論在什么天氣外出,都建議大家做好防紫外線的措施,比如戴可過濾紫外線的眼鏡,起到保護眼睛的作用。
如何選購太陽眼鏡?希瑪來支招!
相比遮陽傘來說,太陽眼鏡攜帶較為便利,在用于保護眼睛避免受到紫外線侵損方面也比較不錯。但由于市面上的太陽眼鏡產品良莠不齊,我們在選購時尤其得擦亮眼睛,選擇合格的產品。那么,在選購太陽眼鏡時需要注意哪些方面呢?接下來,上海眼科醫院排名為大家提供一些建議,供大家參考!

圖片版權歸「站酷海洛」所有
能否過濾紫外線:由于紫外線的波長在100-400納米之間,波長越短,其破壞性也越強。因此,我們在選擇太陽眼鏡時,需要查看說明書是否注明能過濾99%-100%波長在310納米或以下的紫外線方能購買。
鏡片的顏色:鏡片的顏色并非越深越好。一般灰色、棕色和綠色都是不錯的選擇;而藍色、紫外的鏡片比較接近紫外光波長的藍光和紫光,容易損害眼睛,則不建議購買。
眼鏡設計:為了遮擋四面八方折射而來的紫外線,建議選擇能遮蓋雙眼為佳。
鏡片的質素:選擇打磨均勻的鏡片比較好。至于如何判斷,可以將太陽眼鏡朝成直線的對象看,并向上、下、左、右移動,透過鏡片所看的始終成一直線,這樣的鏡片說明打磨比較均勻。
看完之后,您是否學會如何選購太陽眼鏡呢?如果覺得自己仍把握不準,也可直接前往上海眼科醫院排名,我們有專業人員根據自己的專業知識,并結合每位客戶的需求提供合理的建議。 》》》立即咨詢客服